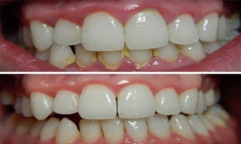
Խառնուրդ, որը 5 րոպեում կվերացնի ատամների փառը
ԼԱՅՖShabat.am-ը գրում է.
Ատամները մարմնի ամենակարևոր մասերից է, որը մենք խնամում ենք ամեն օր։ Ոչ պատշաճ խնամքի դեպքում ատամների վրա առաջանում է փառ՝ ծանր նյութ, որն ունի դեղին գույն, և տհաճ տեսք է հաղորդում ատամներին։
Այս միջոցը կօգնի ազատվել ատամների փառից մի քանի րոպեում։
Անհրաժեշտ բաղադրիչներն են՝
• Սոդա
• Ջրածնի պերօքսիդ
• Աղ
• Տաք ջուր
• Ատամի խոզանակ
• Ատամի փայտիկ
• Բերանի հականեխիչ հեղուկ (Listerine):
Կիրառման եղանակը
1․ 1 ճաշի գդալ սոդան ու կես թեյի գդալ աղը խառնել։ Ատամի խոզանակը թրջել տաք ջրով, թաթախել աղի ու սոդայի խառնուրդի մեջ և քսել ատամներին ու խոզանակով լվանալ 5 րոպե։
2․ 1 բաժակ տաք ջրի մեջ լցնել մի փոքր ջրածնի պերօքսիդ, խառնել և ողողել բերանը մի քանի րոպե, բերանից թափել խառնուրդն ու ողողել սառը ջրով։
3․ Ատամների փառը քերել ատամի փայտիկի միջոցով՝ զգուշանալով լնդերից։
4․ Բերանը ողողել հականեխիչ հեղուկով։
Այս պրոցեդուրան կատարել 2 օրը մեկ անգամ և ամբողջովին կազատվեք ատամների փառից ու կունենաք սպիտակ ատամներ։
1
Նոյեմբերի 17-ին և 18-ին ջուր չի լինելու
2
Կենդանակերպի 3 նշան, ովքեր 2026 թվականին կգտնեն իրենց երկրորդ կեսին
3
Ջուր հավաքեք․ ջուր չի լինելու
4
«Կամազ»-ը վրաերթի է ենթարկել 13-ամյա աղջկա. նա տեղում մահացել է
5
Ավտովթար՝ Արագածոտնի մարզում․ մեքենան գլխիվայր հայտնվել է դաշտում․ բժիշկները պայքարում են վարորդի կյ...



