Ինչպես ընկույզի կեղևի օգնությամբ ազատվել ատամնաքարից
ԼԱՅՖԱտամնաքարերը բավականին տհաճ երհույթ են, որոնք սակայն առաջանում են գրեթե յուրաքանչյուր մարդու մոտ:
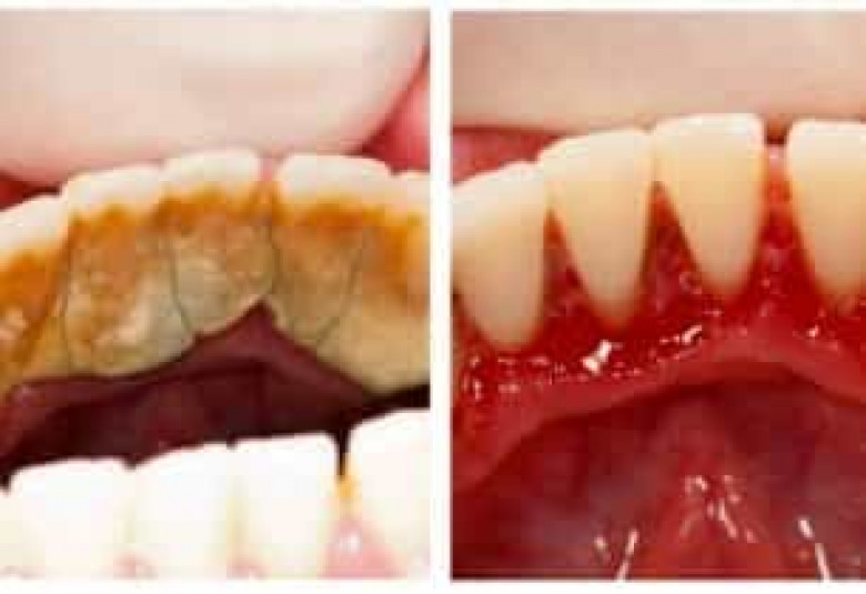
Եթե չհետևեք էմալին ու ժամանակին չազատվեք ատամնափառից, կարող է առաջանալ պարոդոնտիտ: Պարոդոնտիտի դեպքում վարակը արմատային ուղիներով թափանցում է դեպի ատամը և բորբոքվում է ատամի թաղանթն ու նրան շրջապատող հյուսվածքները:
Բարեբախտաբար գոյություն ունի բնական միջոց այդ տհաճ հիվանդությունը կանխարգելման համար:
lifter.com.ua-ն ներկայացրել է շատ պարզ մի բաղադրատոմս, որը թույլ կտա պահպանել ատամներն ու հաղթահարել ատամնաքարերի առաջացման խնդիրը:
Բաղադրատոմսի պատրաստման համար հարկավոր է՝
• 40 հունական ընկույզի կեղև
• 1 բաժակ ջուր
Ինչպես պատրաստել՝
• Եփեք ընկույզի կեղևը 20 րոպե ջրի մեջ, թողեք այն սառչի ու քամեք:
• Ատամի խոզանակը 10 րոպե դրեք այդ հեղուկի մեջ, որից հետո նրանով մանրակրկիտ մաքրեք ատամները:
• Այդ պրոցեդուրան կրկնեք օր 3 անգամ(այնքան ժամանակ, մինչև ատամնաքարերը կահնետանան):
2 շաբաթ անց արդյունքը ձեզ կուրախացնի:
Ընկույզի կեղևը հանդիսանում է հզոր հակաբակտերիալ միջոց, որը օգնում է նաև մաքրել էմալի մակերեսը տհաճ փառից: Այդ պրոցեդուրան շատ օգտակար է հատկապես նրանց համար, ովքեր տառապում են լնդերի արնահոսությամբ:



