Գիտնականները հայտնել են արյան ագրեսիվ քաղցկեղի դեմ դեղամիջոց ստեղծելու հնարավորության մասին
ԼԱՅՖԱրյան ծանր քաղցկեղային հիվանդությունը, որը հայտնի է որպես սուր միելոիդ լեյկոզ, հնարավոր է բուժել` մեծացնելով որոշակի տեսակի միկրոՌՆԹ-ների` գեների գործառույթները կարգավորող ռիբոնուկլեինային թթվի կարճ մոլեկուլների ակտիվությունը, պարզել են Ցինցինատիի համալսարանի գիտնականները: Հետազոտության արդյունքները հրապարակվել են Nature Communications ամսագրում, հայտնում է Lenta-ն:
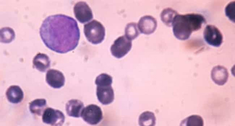
Սուր միելոիդային լեյկոզը արյունաստեղծ հյուսվածքի չարորակ ուռուցք է, որը հանգեցնում է լեյկոցիտների նախնիներից առաջացող արյան սպիտակ գնդիկների (լեյկոզային բջիջների) արագ բազմացման: Դրանք կուտակվում են ոսկրածուծում` ճնշելով արյան նորմալ բջիջների զարգացումը, նվազեցնելով էրիտրոցիտների, թրոմբոցիտների եւ լեյկոցիտների քանակը: Իրենք` լեյկոզային բջիջները, ի տարբերություն նորմալ սպիտակ մարմինների, ի վիճակի չեն օրգանիզմը պաշտպանել վարակից:
Լաբորատոր մկների օգտագործմամբ նոր հետազոտության մեջ գիտնականները ցույց են տվել, որ սուր միելոիդային լեյկոզի զարգացումը կապված է miR-22 մոլեկուլի ակտիվության նվազման հետ: Այդ միացությունը դասվում է փոքր, չկոդավորող ՌՆԹ-ների (միկրոՌՆԹ-ների) դասին: ՄիկրոՌՆԹ-ները զուգավորվում են տեղեկատվական ՌՆԹ-ի հատվածների հետ` խոչընդոտելով դրա մասնակցությանը սպիտակուցի փոխանցման եւ սինթեզման գործընթացին:
Նախորդ աշխատանքները ցույց են տվել, որ miR-22-ն կապված է կաթնագեղձի քաղցկեղի եւ արյան հիվանդությունների հետ, որոնք կարող են նախորդել լեյկոզին: Հետազոտողները պարզել են, որ եթե մեծացվի այն գենի ակտիվությունը, որը պատասխանատու է miR-22-ի սինթեզի համար, լեյկոզային բջիջները սկսում են զարգացման, աճի եւ բազմացման դժվարություններ ունենալ: ՄիկրոՌՆԹ-ների տվյալ տեսակը ճնշում է քաղցկեղի հետ կապված որոշ գեների գործառույթները եւ արգելափակում է հիվանդությանը նպաստող նյութափոխանակային ուղիները:
Լեյկոզի զարգացումը պայմանավորված է miR-22-ի սինթեզի համար պատասխանատու ԴՆԹ-ի կորստով, այն հնարավոր է վերականգնել, եթե ոսրկրածուծի բջիջների մեջ ներմուծվեն միկրոՌՆԹ-ներ կրող նանոմասնիկներ:



