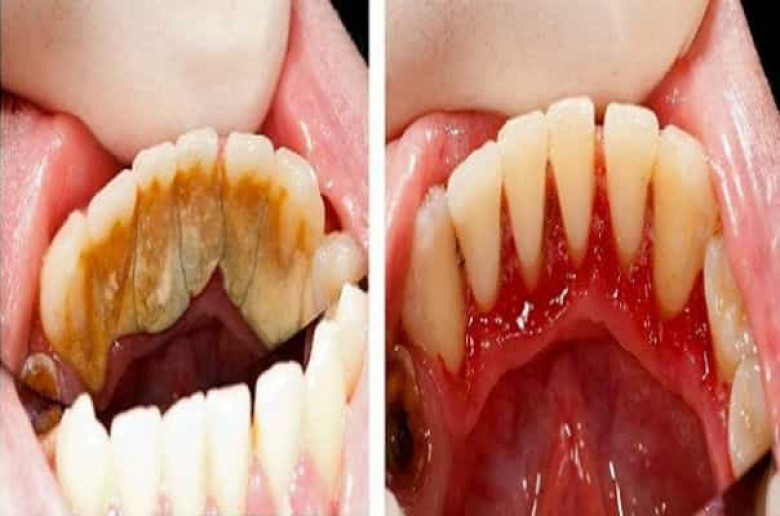
Ինչպե՞ս հեռացնել ատամնաքարերը տնային պայմաններում և ունենալ առողջ ու ձյունաճերմակ ատամներ
ԼԱՅՖԵրբ գործը հասնում է ատամնաքարերը հեռացնելուն, որոնք կարող են պերիդոնտիտի առաջացման պատճառ դառնալ, լավագույն տարբերակը ատամնաբույժին այցելելն է: Սակայն կա մի այլընտրանքային տարբերակ, որը հնարավորություն է տալիս ազատվել այդ խնդրից տնային պայմաններում:
Անհրաժեշտ բաղադրիչներն են.
· ատամի խոզանակ,
· բաժակ,
· ջուր,
· ստոմատոլոգիական զոնդ,
· ջրածնի պերօքսիդ,
· կերակրի սոդա (ատամնափառը հեռացնելու ամենատարածված բաղադրիչը),
· կերակրի աղ,
· հակասեպտիկ՝ բերանի խոռոչը ողողելու համար :
Օգտագործման եղանակը.
Բաժակի մեջ խառնել մեկ ճաշի գդալ սոդան և ½ ճաշի գդալ աղը: Ստացված խառնուրդի մեջ թաթախել ատամի խոզանակը և շրջանաձև շարժումներով մաքրել ատամները: Խառնուրդի մնացորդները ոչ մի դեպքում չի կարելի կուլ տալ: Այս կերպ անհրաժեշտ է մաքրել ատամները 5 րոպե:
Այնուհետև անհրաժեշտ է պատրաստել լուծույթը՝ խառնելով կես բաժակ գոլ ջուրը և մեկ բաժակ ջրածնի պերօքսիդը: Ստացված լուծույթով լվանալ ատամները, իսկ վերջում ողողել բերանի խոռոչը մի բաժակ սառը ջրով:
Վերոնշյալ գործողություններից հետո անհրաժեշտ է ատամնաբուժական զոնդի օգնությամբ զգուշորեն մաքրել ատամնաքարերը, սակայն դա պետք անել չափազանց ուշադիր, որպեսզի լնդերը չվնասվեն:
Մաքրումից հետո բերանի խոռոչը պետք է ողողել հակասեպտիկ միջոցով: Այս գործընթացը պետք կրկնել 2 օր հետո և շարունակել նույն կերպ, մինչև ցանկալի արդյունքի հասնելը:
Ի՞նչ անել առողջ ու ձյունաճերմակ ատամներ ունենալու համար
Մրգեր ու բանջարեղեն
Վիտամին C-ն սպիտակեցնում է ատամները, իսկ մրգերն ու բանջարեղենը, այդ թվում նաև ելակն ու լոլիկները, անչափ հարուստ են այդ վիտամինով:
Ատամնաքարը փափկեցնելու համար կարելի է ատամները տրորել մրգերով, իսկ հետո ողողել սոդայի ու ջրի լուծույթով:
Կաթնամթերք
Կաթնամթերքի մեջ ամենաուժեղ չեզոքացնողը պանիրն է: Այն չեզոքացնում է ատամնափառ առաջացնող թթուները:
Բացի այդ, բերանի խոռոչի հիգենայի պահպանման համար անհրաժեշտ է ամեն օր քնելուց առաջ անպայման լվանալ ատամները: Ատամները լվանալուց հետո կարելի է տրորել դրանք նարնջի կեղևով, բայց չողողել, քանի որ այդպես կառաջանան բակտերիաներ:
Նաև անհրաժեշտ է ստուգել ատամների միջև տարածությունը և հետևել լնդերի գույնին:



