ՔԱՂԱՔԱԿԱՆ
ՄԻՋԱԶԳԱՅԻՆ
ՀԱՍԱՐԱԿՈՒԹՅՈՒՆ
ՏՆՏԵՍՈՒԹՅՈՒՆ
ՎԵՐԼՈՒԾԱԿԱՆ
ՄՇԱԿՈՒՅԹ
ՍՊՈՐՏ
ԲԼՈԳ
ԼԱՅՖ
ՎԻԴԵՈ
Երևան,
10.Մայիս.2026,
00
:
00
Հայերեն
Русский
English
ՀՐԱՏԱՊ
15:33
Սպասվում է կարճատև անձրև և ամպրոպ, տեղ-տեղ հնարավոր է կարկուտ․ օդի ջերմաստիճանը կբարձրանա 2-4 աստիճանով
9:06
Իջևան-Դիլիջան ավտոճանապարհին «Mercedes-Benz» մակնիշի ավտոմեքենան դուրս է եկել ճանապարհի երթևեկելի հատվածից և հայտնվել Աղստև գետում․ կա վիրшվոր
11:11
Ինչպիսի եղանակ կլինի մայիսի վերջում Հայաստանում
12:06
Հաստատվել են դպրոցական արձակուրդների և ուսումնական պարապմունքների ժամկետները
10:12
Խորհրդանիշների փոփոխությո՞ւն, թե քաղաքական ուղերձ․ ինչու են հանում Արարատը
9:59
Այսօր սկսվում է պաշտոնական քարոզարշավը, և մենք մտնում ենք նրա մեջ՝ ձախողելու թրքամետ վարչախմբի վերարտադրությունը. Ավետիք Չալաբյան
17:13
Երևանի մի քանի հատվածներում կանգառները կարգելվեն
15:32
Հնարավոր է կարճատև անձրև և ամպրոպ. օդի ջերմաստիճանը աստիճանաբար կբարձրանա 5-7աստիճանով
12:16
Վթար․ մի քանի ժամ ջուր չի լինի
11:21
Մեքենայի մեջ մաhшցած է հայտնաբերվել հայ-թուրքական հանդիպումների թարգմանիչ Գևորգ Կալոշյանը
14:48
Նոյեմբերյանում հարգանքի տուրք՝ 1991-ի մայիսի 6-ի զոհված ոստիկանների հիշատակին․ (ֆոտոշարք)
14:46
Երևան-Սևան ավտոճանապարհին՝ կայանված «Nissan»-ում, հայտնաբերվել է տղամարդու մարմին
Լրահոս
2020-04-25 10:01:52
Խեցգետիններ, մի շտապեք այսօր կարևոր ու բախտորոշ որոշումներ կայացնել․ ապրիլի 25-ի աստղագուշակը
2020-04-25 09:01:00
Հնդկական սիրային հորոսկոպ. Արդյունքներն ապշեցնելու աստիճան ճշգրիտ են
2020-04-24 08:52:03
Ջրհոսները կարող են լուրջ տարաձայնություններ ունենալ․ ապրիլի 24-ի աստղագուշակը
2020-04-18 22:20:19
Ինչո՞ւ է Գոռ Հակոբյան այսպիսի «տանջանքների» ենթարկում հղի կնոջը
2020-04-18 19:36:14
Իսկ դուք կկարողանա՞ք 9 աղջիկների մեջ գտնել իսկական Անջելինա Ջոլիին
2020-04-18 18:54:53
ԹԵՍՏ․ Ո՞րն է Ձեր ամենամութ գաղտնիքը
2020-04-17 11:16:10
«Ամեն ինչ կանենք, որ այս որոշումից երեխան չտուժի». Հայկոն և Անահիտ Սիմոնյանն ամուսնալուծվել են
2020-04-15 14:00:26
Ըստ Ձեզ, ո՞վ է այս նկարում ավելի անխելք. Պատասխանը շատ բան կբացահայտի ձեր մասին
2020-04-13 13:22:35
Թեստ. Ընտրեք քարտը և իմացեք երբ կկատարվի Ձեր ցանկությունը
2020-04-13 13:07:23
Ո՞ր ամսին եք ծնվել և ի՞նչ է դա պատմում Ձեր մասին. 99% ճշտգրտություն
2020-04-13 09:51:55
Վանգի կանխատեսումները, մարգարեությունները իրականություն են դառնում.Ի՞նչ է լինելու 2020 թվականի ապրիլի 29-ին
2020-04-13 09:38:01
5 անսովոր եղանակ Ինչպե՞ս ստիպել տղամարդուն ամուսնանալ քեզ հետ
2020-04-13 09:05:12
Հանելուկ. Մարդկանցից ովքե՞ր կմահանան. 10.000-ից միայն 1-ն է գուշակում այս հանելուկը
2020-04-11 16:08:59
Առեղծվածային վայր Հայաստանում
2020-04-11 12:46:06
Ասեք քանի՞ տառ կա Ձեր անվան մեջ և մենք կասենք, թե ինչպիսի մարդ եք Դուք. 100 տոկոսանոց համընկնում
2020-04-11 10:13:11
Գիտնականների կողմից ապացուցված. Մարդու առողջությունն ու անհատականությունը կախված է նրա ծննդյան ամսից
2020-04-10 11:25:13
Ինչպես կարելի է որոշել կախարդական ունակությունները `հիմնվելով ծննդյան ամսաթվի և անվան վրա
2020-04-10 11:10:14
5 երեխա, որոնց գոյությունը դժվար է հավատալ
2020-04-10 10:54:28
5 առեղծվածային իրադարձություններ, որոնց չէինք հավատա, եթե տեսախցիկը ֆիքսած չլիներ
2020-04-10 09:26:40
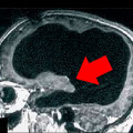
Այս մարդը ապրել է 40 տարի Առանց ուղեղի.Միթե հնարավոր է նման բան (տեսանյութ)
2020-04-10 00:07:10
Ինչ պետք է գրել աղջկան, որպեսզի նա 100% պատասխանի ձեզ
2020-04-09 23:48:52
Ինչպե՞ս ստիպել տղամարդուն մտածել միայն քո մասին
2020-04-09 23:44:40
«Դիմահարդարմամբ, թե առանց». Հասմիկ Խոջյանը ցույց է տվել բնական գեղեցկությունը
2020-04-09 23:28:34
Ինչ կապված է Անի Երանյանի հետ` ինձ միշտ կհետաքրքրի. Մովսես Երեմյան
2020-04-09 23:23:25
Ձեր ամուսինը քնած ժամանակ մեջքով դեպի Ձե՞զ է շրջվում. ահա թե ինչ է նշանակում դա իրականում
2020-04-09 23:20:01
Ամուսնանալը կյանքիս նպատակը չէ, եթե չլինի, նորմալ է.Անի Երանյանը՝ բարդ շրջանի մասին և ոչ միայն
2020-04-09 23:02:57
Որո՞նք են կենդանակերպի 6 ամենաանկախ նշանները
2020-04-09 22:39:29
6 Կենդանակերպի նշան, որոնց համար շատ դժվար է վստահել մարդկանց
2020-04-09 22:17:25
Կենդանակերպի ամենապոզիտիվ նշանները
2020-04-09 21:58:05
Շաբաթվա աստղագուշակ - ապրիլի 18-24
Նախկին էջ
Հաջորդ էջ
Լրահոս
Տարադրամի փոխարժեքները մայիսի 10-ին
Պլեխանովի անվան տնտեսագիտական համալսարանում երիտասարդությունը կազմակերպել էր միջոցառում՝ նվիրված մեծ հաղթանակի օրվան (տեսանյութ)
«Ուժեղ Հայաստան» -ը Խնձորեսկում է (լուսանկարներ)
Սպասվում է կարճատև անձրև և ամպրոպ, տեղ-տեղ հնարավոր է կարկուտ․ օդի ջերմաստիճանը կբարձրանա 2-4 աստիճանով
Հաջորդ վարչապետ Սամվել Կարապետյանի ուժեղ թիմը Գորիսում է. ՏԵՍԱՆՅՈՒԹ
«ՀայաՔվե» միավորման անդամները` «Ուժեղ Հայաստան» դաշինքի անդամների հետ միասին, նախընտրական քարոզարշավի շրջանակում Սյունիքի մարզում են
«Ուժեղ Հայաստան» դաշինքի ներկայացուցիչները Խնձորեսկում քննարկել են գյուղատնտեսական խնդիրները
«Ուժեղ Հայաստան»-ը Գյուլագարակում է
«Ուժեղ Հայաստան» -ի քարոզարշավը Լոռու մարզի Գյուլագարակ, Գարգառ, Ամրակից, Ստեփանավան, Լոռի Բերդ, Կաթնաղբյուր համայնքներում
ՈՒՂԻՂ. «Լուսավոր Հայաստանը» այսօր քարոզարշավը մեկնարկում է Ատոմակայանից
Ի պատասխան Բայրամովի՝ ռևանշիզմի մասին հայտարարության
Ստեղծվել է անօդաչու թռչող սարք, որը կարող է ժամերով թռչել արևային էներգիայով
Արդյո՞ք հայ հասարակությունը պատրաստ է այս պահին ստանձնել այդ պատասխանատվությունը, և արդյո՞ք կա ձևավորված այնպիսի այլընտրանքային ուժ, որը կկարողանա առաջնորդել ժողովրդին այս «պարտադրված» ընտրության ժամանակ․ Հրայր Կամենդատյան
Այն մասին, թե իրականում ինչ նոր կորուստներ և աղետներ են ընտրում նրանք, որոնք խաբվելով կեղծ խոստումներով, պատրաստ են իրենց թանկ ձայնը տալ երկրի համար մեկ խաբեբային․ Ավետիք Չալաբյան
«Հայաստան» դաշինքի անդամները՝ Ռոբերտ Քոչարյանի գլխավորությամբ Գեղամասարում են
Պարտությունը դատավճիռ չէ և մենք պետք է այնպիսի պետություն ստեղծենք, որը ունակ կլինի հաղթանակների․ Էդմոն Մարուքյան
Թող վերջին զանգը դառնա մեր ազգային վերածննդի ու նոր հաղթանակների առաջին զանգը. Գագիկ Ծառուկյան
Մենք պատրաստ ենք ամրապնդել Հունգարիայի հետ բարեկամական և փոխշահավետ հարաբերությունները․ Փաշինյանը շնորհավորել է Մադյարին
Ընդդիմադիր դաշտը մի խնդիր ունի լուծելու՝ ստիպել, որ Նիկոլի կողքին կանգնողները, ծափ տվողները քարոզարշավի ժամանակ իրականում լսեն Նիկոլի ասածները․ Վահե Հովհաննիսյան
Ադրբեջանից Հայաստան կուղարկվի 16 վագոն դիզելային վառելիք
Ինչ է սպասվում կենդանակերպի նշաններին մայիսի 11–17-ին
Լարսը բաց է. իրավիճակը՝ ավտոճանապարհներին
Իտալիայի առաջնության 36-րդ տուրում «Յուվենտուսը» նվազագույն հաշվով առավելության հասավ «Լեչեի» նկատմամբ
Ռուբիոն և Ուիթքոֆը հանդիպել են Կատարի վարչապետի հետ՝ Իրանի հետ պատերազմը դադարեցնելու շուրջ համաձայնության հասնելու համար
Քուչակում բшխվել են «Mercedes»-ը և «Opel»-ը․ վերջինը գլխիվայր հայտնվել է երթևեկելի գոտում․ կա վիրшվոր
Ուրախ եմ լինել «Ինտերի» մի մասը. մնացել է վերջին մի քանի խաղը, որից հետո ես որոշում կկայացնեմ. Հենրիխ Մխիթարյան
Օդի ջերմաստիճանը կբարձրանա․ եղանակն՝ առաջիկա օրերին
Իջևան-Դիլիջան ավտոճանապարհին «Mercedes-Benz» մակնիշի ավտոմեքենան դուրս է եկել ճանապարհի երթևեկելի հատվածից և հայտնվել Աղստև գետում․ կա վիրшվոր
Հանտավիրուսային վարակի երկու նոր դեպք է գրանցվել
Ինչ վիճակում է Իրանի գերագույն առաջնորդը․ մանրամասներ
Պուտինը կարծում է, որ ուկրաինական հակամարտությունը մոտենում է ավարտին
Ինտերը հաղթեց «Լացիոյին». Հենրիխ Մխիթարյանը՝ գոլի հեղինակ
Խոցելիության նոր ճակատ. ինչպես է Հորմուզի նեղուցը կապված համաշխարհային թվային տնտեսության հետ
Օդի ջերմաստիճանը կբարձրանա․ եղանակն՝ առաջիկա օրերին
Մեսսին նշել է այն լեգենդներին, որոնց հետ ժամանակին չի փոխանակվել խաղաշապիկներով
Երևանը պետք է հնարավորինս շուտ հստակեցնի՝ ցանկանում է անդամակցել ԵՄ-ին, թե ԵԱՏՄ-ին, այդ դեպքում հնարավոր կլինի քաղաքակիրթ ապահարզանի գնալ․ Պուտին
Մայիսի 10-ին թեմական եկեղեցիներում մատուցվող Սուրբ Պատարագների ժամանակացույցը
Իսրայելն Ադրբեջանում կառուցում է տվյալների խոշոր կենտրոն
Զբոսանավի վրա ավելի քան 100 մարդ նորովիրուսով է վարակվել
ՆԱՏՕ-ի գծով ԱՄՆ դաշնակիցները Եվրոպայում կանխատեսում են ամերիկյան զորքերի հետագա կրճատում
«Համահայկական ճակատ»-ի անդամ, զինված ուժերի պահեստազորի գնդապետ Արտյոմ Սիմոնյանը հանրային դիմել է Սուրեն Պապիկյանին
Նանուլը նոր տեսահոլովակ է ներկայացրել
Գերմանիան վտանգավոր ճանապարհ է ընտրել. Պեսկով
Հայ գրոսմայստերների արդյունքները՝ Իտալիայում ընթացող միջազգային մրցաշարում
Ուժեղ ֆոտոշարք Սիսիանից
Ջուր հավաքեք․ ջուր չի լինելու
Հիմա էլ սահմանն անվտանգ չէ, խաղաղությունը սրտիկ անելով չի հաստատվում. Միքայելյան
Արամ Վարդևանյանի «Ուժեղ պարը» սիսիանցիների հետ
Այ հատ-հատ բերել ու վերադարձնել ժողովրդին կտենաք ոնց ա լինում․ Արսեն Վարդանյան
Երևանի ու մարզերի տասնյակ հասցեներում երկուշաբթի լույս չի լինի
Ամբողջ լրահոսը »
Ամենադիտված
1
Շենքի տակ հայտնաբերել են երկու կնոջ և մեկ երեխայի մարմին
2
21 տարեկան կինը երեխա է ունեցել 14-ամյա ազգականից
3
Խոշոր հրդեհ՝ «Արգավան» առևտրի կենտրոնում. կան զnhեր և վիրավnրներ
4
Ուսուցիչը երկու շաբաթ լրտեսել է ավագ դպրոցի աղջիկների զուգարանը
5
Վթար է. ջուր չի լինելու
Հարցում