ՔԱՂԱՔԱԿԱՆ
ՄԻՋԱԶԳԱՅԻՆ
ՀԱՍԱՐԱԿՈՒԹՅՈՒՆ
ՏՆՏԵՍՈՒԹՅՈՒՆ
ՎԵՐԼՈՒԾԱԿԱՆ
ՄՇԱԿՈՒՅԹ
ՍՊՈՐՏ
ԲԼՈԳ
ԼԱՅՖ
ՎԻԴԵՈ
Երևան,
21.Ապրիլ.2026,
00
:
00
Հայերեն
Русский
English
ՀՐԱՏԱՊ
12:59
Ապրիլի 23-ին տեղի կունենա ամենամյա Ջահերով երթը դեպի Ծիծեռնակաբերդի հուշահամալիր
9:17
Անկում տարադրամի շուկայում․ փոխարժեքն՝ այսօր
15:07
Ինչպիսին կլինի մայիսը Հայաստանում
11:20
Հայաստանի օդն ընդդեմ մեր առողջության
10:05
Մի քանի ժամ գազ չի լինի. հասցեներ
9:50
Լարսը փակ է․ Գյումրի-Բավրա, Բաղանիս-Ջուջևան ավտոճանապարհները դժվարանցանելի են բեռնատարների համար
17:27
Եղանակն առաջիկա օրերին
16:10
Ջուրը կտրելու են ընտրություններից հետո
12:42
Մի շարք հասցեներում գազամատակարարման ընդհատում կինի
9:36
Գազ չի լինելու
9:35
Դոլարն էժանացել է, ռուբլին՝ թանկացել․ փոխարժեքն՝ այսօր
10:36
Փաստն այն է, որ այսօր ներհայաստանյան ընտրազանգվածներն իրարից օտարացած են ավելի շատ, քան՝ մենք ու ադրբեջանցիք. Վահե Հովհաննիսյան
Լրահոս
2019-05-29 13:37:39
Ահա, թե ինչ կլինի օրգանիզմի հետ, եթե ամեն օր մանդարին ուտեք
2019-05-29 13:37:21
Անհավատալի է, որ 19 տարի առաջ Գոհար Ավետիսյանի ու եղբոր տարբերությունն այսքան էր
2019-05-29 13:35:55
Դուք պատկերացնել անգամ չեք կարող, թե ինչ կկատարվի ձեր օրգանիզմի հետ, եթե ամեն օր սոված փորին սխտոր և մեղր ուտեք
2019-05-29 13:34:16
Նիհարելու գաղտնիքները, որ երբեք ձեզ ոչ մի դիետոլոգ և մարզիչ չեն ասի
2019-05-29 13:32:35
Ահա, թե ինչ կլինի ձեր օրգանիզմի հետ մեկ շաբաթվա ընթացքում, եթե առավոտյան քաղցած վիճակում տաք ջուր խմեք
2019-05-29 13:30:51
Առողջ, գեղեցիկ, խնամված ոտքեր ունենալու համար թանկարժեք կրեմներ պետք չեն, ուղղակի վերցնում եք մի քիչ սոդա և...
2019-05-29 13:06:04
«Ամենալավ օրը երեկ էր»․ Իննա Խոջամիրյանը ցույց է տվել, թե ով է իր օրն ամանալավը դարձրել
2019-05-29 12:28:43
Անձի ամենաճշգրիտ թեստը. պատասխանի՛ր ընդամենը 4 հարցի և իմացի՛ր քո անձի տեսակի մասին
2019-05-29 11:43:44
Գեյշաների 9 գաղտնիք, որոնք ցանկացած կնոջ ավելի գրավիչ կդարձնեն
2019-05-29 11:22:44
Նորաձև կերպարով Հռիփսիմե Հակոբյանը ցույց է տվել, որ իրականում բավականին գիրացել է (լուսանկար)
2019-05-29 10:22:53
Հորոսկոպի 3 նշան, ում կյանքում այս ամռանը մեծ հրաշք է սպասվում
2019-05-29 09:36:30
Ողջ համացանցը քննարկում է Իննա Խոջամիրյանի ու Տաթև Սարգսյանի՝ գաղտնի արված լուսանկարը (Photo)
2019-05-29 09:21:31
Աշխարհ չկա առանց քեզ. Սիրուշոյի և ամուսնու ռոմանտիկ լուսանկարը
2019-05-29 09:09:42
Երազանքներիս շորը․ Լենա Ղազարյանը ցույց է տվել թե ինչ հարսի շոր է ընտրել (լուսանկար)
2019-05-29 08:56:44
Դառը շոկոլադը հազի,արյան ճնշման եվ մի շարք այլ հիվանդությունների դեմ.11 փաստ այն մասին, թե ինչով է օգտակար դառը շոկոլադը
2019-05-29 08:55:15
Ինչ կլինի ձեր ուղեղի,սրտի և ոսկորների հետ օրական 3 բանան ուտելու դեպքում
2019-05-29 08:52:56
Հանճարեղ բաղադրատոմս , որը կբուժի միգրենի նոպան և ուժեղ գլխացավը ընդհամենը 5 րոպեում
2019-05-29 08:51:08
Ահա թե որ մթերքը կարող է դառնալ չափազանց վտանգավոր, եթե ունեք վահանաձև գեղձի խնդիրներ, անհրաժեշտ է իմանալ և խուսափել դրա կիրառումից
2019-05-29 08:49:37
Այս միջոցների օգնությամբ հնարավոր է մաքրել անոթներն առանց դեղահաբերի և զարկերակային ճնշումը միշտ կլինի
2019-05-29 08:47:58
Այս բույսի ընդամենը մեկ տերևը կարող է վայրկենապես փրկել ձեր կյանքը. բույսը կա ամեն մի այգում, բայց քչերը գիտեն՝ ինչպես օգտագործել
2019-05-29 08:45:33
Հայրը աղջիկների սենյակում դրեց երկու ներքնակ իրար կողքի․ Այն, ինչ նա արեց հետո, պարզապես աննկարագրելի է
2019-05-29 08:44:12
Նախկին ոստիկանը չկարողացավ համակերպվել այն մտքի հետ,որ իր 30 «գործընկերներին» պետք է քնեցնեն և որոշեց գործել…
2019-05-29 08:42:28
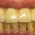
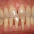
Ատամի վզիկը մերկացե՞լ է. իմացիր՝ ինչպես լինդը հետ վերադարձնել
2019-05-29 08:37:17
Պարզվում է՝ մենք միշտ սխալ են եփել եգիպտացորենը. ահա, թե ինչպես է պետք ճիշտ շոգեխաշել
2019-05-29 08:34:17
Եթե մշտական հոգնածություն, սթրես եք զգում, անքնություն ունեք և լարված եք, դուք պետք է ՍԱ իմանաք
2019-05-29 08:14:21
72-ամյա պապիկը ոչ մի անգամ ատամնաբույժի չի դիմել. նա պարզապես շաբաթը 3 անգամ ընդունում է ԱՅՍ միջոցը
2019-05-29 08:08:36
«Ես աշխարհի լավագույն երգչուհին եմ»,- ասաց նա, երբ բեմ բարձրացավ. և ահա՝ 22 մլն դիտում
2019-05-29 08:02:26
Այս կանայք ամբողջ պատին սկոտչ կպցրին, իսկ երբ սկսեցին ներկել, զարմանքից քարացա (տեսանյութ)
2019-05-29 07:58:44
Հովիվը սիբիրյան խուլ վայրում այս փոսը հայտնաբերեց. ներս նայելով՝ գիտնականները զարմանքից քարացան
2019-05-29 07:53:43
Տղամարդն առաջարկեց իր ավտոմեքենայով տեղափոխել անծանոթուհուն, սակայն չէր էլ կարող պատկերացնել, թե դա ինչ ավարտ կունենա (տեսանյութ)
Նախկին էջ
Հաջորդ էջ
Լրահոս
Իրանը չի մասնակցի բանակցություններին մինչև իր պայմանները չբավարարվեն. Tasnim
«Արարատ-Արմենիան» խոշոր հաշվով հաղթել է «Շիրակին»
Հայաստանի սամբոյի հավաքականները կմասնակցեն Սերբիայում կայանալիք Եվրոպայի առաջնությանը
X-ի օգտատերերը գանգատվել են սոցիալական ցանցի աշխատանքից
Մերձավոր Արևելքում իրավիճակը շատ փխրուն է և անկանխատեսելի. Կրեմլ
Բռնցքամարտի ԱԱ․ Արթուր Բազեյանն ու Նարեկ Մանասյանը հաղթանակով են մեկնարկել Աշխարհի գավաթում
Երբեք ՀՀ պատմության մեջ այսպիսի թեժ պայքար չի եղել․ Նարեկ Կարապետյան
Երևանում «Mercedes»-ը բախվել է կայանված «BYD» մեքենային
ՀՀ-ն կանգնած է մարտահրավերների առաջ, պետք է Սամվել Կարապետյանի նման առաջնորդ․ Նարեկ Կարապետյան
Երբ Սամվել Կարապետյանը մասնակցի ընտրարշավին, բոլորը կսկսեն համեմատել Փաշինյանին Կարապետյանի հետ․ ընտրությունը կգնա Կարապետյանի կողմը․ Նարեկ Կարապետյան
Փաշինյանը չի՛ կարողանում փողոց գեներացնել, դա ցուցիչ է. Նարեկ Կարապետյան
Եվրամիությունն ընդլայնելու է Իրանի դեմ պատժամիջոցները. Reuters
ԱրարատԲանկի անմնացորդ նվիրում․ 5 տարի, 172 շահառու, ավելի քան 100 իրականացված նախագիծ
6 սննդամթերք, որոնք օգնում են իջեցնել արյան ճնշումը
Ի՞նչ եղանակ է սպասվում առաջիկա օրերին
Իդրամն ու IDBank-ը մասնակցեցին Career City Fest 2026-ին
Հայաստանը դարձել է մայիսյան տոների համար ամենապահանջված ուղղություններից մեկը. «Աէրոֆլոտ»
Նարեկ Կարապետյանի ելույթը «Ընտրության Ժամը» թողարկմանը
Ռուսաստանի դեսպանը կանչվել է Գերմանիայի ԱԳՆ
Այսօր «Ազգային երգիչ 2» նախագծի ֆինալիստ Հայկուհի Հարությունյանի հարսանիքն է
Ապրիլի 21-ին և 22-ին ջուր չի լինելու
«Հենց այս օրը ծնվեց այն մարդն, ում դուստրը լինելը մեծագույն երջանկություն է». Արա Գևորգյանի դստեր շնորհավորանքը՝ հայրիկին
Իսրայելը երբեք չի համոզել ինձ պատերազմի մեջ մտնել Իրանի հետ. Թրամփ
Շրջափակման սկզբից ի վեր 27 նավի հրահանգվել է վերադառնալ իրանական նավահանգիստներ. ԱՄՆ բանակ
Մոսկվայում ձերբակալվել է Իսրայելի առնվազն 40 քաղաքացի, որոնցից մի քանիսը մեղադրվում են Իրանի դեմ պատերազմելու մեջ
Մալխաս Ամոյանը 3-1 հաշվով հաղթեց մոլդովացի մրցակցին (տեսանյութ)
«Արարատ-Արմենիան» հաղթեց «Շիրակին» 4:0 (տեսանյութ)
Աջափնյակում 37-ամյա անձի մոտ մեթամֆետամին է հայտնաբերվել
Նոր Գեղի բնակավայրում ընթացող «Tesla»-ում հրդեհ է բռնկվել
«Բարգավաճ Հայաստան» կուսակցությունը առաջադրման փաստաթղթերը ներկայացրեց ԿԸՀ
Պուտինը հրամանագիր է ստորագրել
էս ընտրություններով ամեն ինչ չի ավարտվելու, այլ դեռ նոր սկսվելու է. Էդմոն Մարուքյան
Ալեքսանդրա Գրիգորյանը՝ Եվրոպայի փոխչեմպիոն
38-ամյա վարորդը «Suzuki Alto»-ով դուրս է եկել երթևեկելի գոտուց․ կա վիրավոր
Հայկական պետականության շուրջ օղակը սեղմվում է. լռելն անհանդուրժելի է․ Սուրենյանց
Կապան-Խոտանան ճանապարհին մեքենան ձորն է գլորվել
Լարված իրավիճակ՝ «Արմավիր» ՔԿՀ-ում. մեծ թվով դատապարտյալներ սպառնում են դիմել ծայրահեղ միջոցների
Իրավիճակը Հորմուզի նեղուցում․ իրանական լրատվամիջոցները կադրեր են հրապարակել (տեսանյութ)
Ջոկովիչը գերազանցեց Ֆեդերերի ռեկորդը
Սարյան փողոցում ժամը 21:00-ից հետո մայթերին հարակից հատվածներում ավտոմեքենաներ կայանելն արգելվում է
Հայտնաբերվել է 393 ոչ սթափ վարորդ․ պարեկների անցած շաբաթվա ծառայության արդյունքները
Իսրայելը և Լիբանանը բանակցությունների հաջորդ փուլը կանցկացնեն ապրիլի 23-ին
Իրազեկում․ գործարկվելու է էլեկտրական շչակ
Ոստիկանները թմրամիջոցի ապօրինի շրջանառության դեպքեր են բացահայտել
Երևանի քաղաքապետարանը հայտարարություն է տարածել երթևեկության հետ կապված
Կյանքից հեռացել է 44-օրյա պատերազմում անմաhացած Գառնիկ Մալխասյանի մայրը
Ադրբեջանը Բաքու-Թբիլիսի-Ջեյհան խողովակաշարի վրա իրանական hարձակnւմ է կանխել. The Times of Israel
HIPP մանկական սննդի մեջ առնետի թույն է հայտնաբերվել
Առաջընթաց՝ ամեն օր. Ամիօ բանկը անցնում է համակարգային թվայնացման
Ռոբերտ Ամստերդամ․ Փաշինյանը սարսափում է ժողովրդի հետ իրական ընդդիմության հանդիպումից, բայց նա իր հաշվարկներում սխալվում է. (Տեսանյութ)
Ամբողջ լրահոսը »
Ամենադիտված
1
Բացահայտվել է 1958-ին անհետացած հինգ հոգանոց ընտանիքի առեղծվածը
2
Ջուր հավաքեք. ջուր չի լինելու
3
Ջուր հավաքեք․ ջուր չի լինելու
4
Աղբահանման ընթացքում 35-ամյա կինը հայտնվել է մեքենայի մեջ և մահացել
5
Ինչպիսին կլինի մայիսը Հայաստանում
Հարցում