ՔԱՂԱՔԱԿԱՆ
ՄԻՋԱԶԳԱՅԻՆ
ՀԱՍԱՐԱԿՈՒԹՅՈՒՆ
ՏՆՏԵՍՈՒԹՅՈՒՆ
ՎԵՐԼՈՒԾԱԿԱՆ
ՄՇԱԿՈՒՅԹ
ՍՊՈՐՏ
ԲԼՈԳ
ԼԱՅՖ
ՎԻԴԵՈ
Երևան,
07.Մայիս.2026,
00
:
00
Հայերեն
Русский
English
ՀՐԱՏԱՊ
15:32
Հնարավոր է կարճատև անձրև և ամպրոպ. օդի ջերմաստիճանը աստիճանաբար կբարձրանա 5-7աստիճանով
12:16
Վթար․ մի քանի ժամ ջուր չի լինի
11:21
Մեքենայի մեջ մաhшցած է հայտնաբերվել հայ-թուրքական հանդիպումների թարգմանիչ Գևորգ Կալոշյանը
14:48
Նոյեմբերյանում հարգանքի տուրք՝ 1991-ի մայիսի 6-ի զոհված ոստիկանների հիշատակին․ (ֆոտոշարք)
14:46
Երևան-Սևան ավտոճանապարհին՝ կայանված «Nissan»-ում, հայտնաբերվել է տղամարդու մարմին
12:28
Երեկոյան սպասվում է կարճատև անձրև․ օդի ջերմաստիճանը մայիսի 9-11-ին աստիճանաբար կբարձրանա 5-7աստիճանով
10:56
Ապարանում ձյուն է տեղացել (տեսանյութ)
10:40
Վթար. 24 ժամից ավելի ջուր չի լինի
15:44
Կրակոցներ՝ Երևանում. հիվանդանոց տեղափոխված տղամարդը մահացել է
15:07
Չնայած առատ տեղումներին՝ Սևանա լճի մակարդակը նախորդ տարվա նույն օրվա համեմատ ցածր է 17 սմ-ով
14:22
Հանրապետության տարածքում սպասվում է կարճատև անձրև և ամպրոպ, տեղ-տեղ հնարավոր է կարկուտ
12:59
Ադրբեջանը կարող է լինել միայն Փաշինյանի փոքրիկ խմբակի երաշխավորը. Սամվել Կարապետյան
Լրահոս
2016-05-10 00:15:19
Խռմփոցի պատճառները, հետևանքները և բուժումը
2016-05-10 00:10:57
Եգիպտացորենի օգտակար հատկությունները
2016-05-09 23:48:00
Ֆեյխոա` աստղային պտղի օգտակարությունը
2016-05-09 22:56:19
Սպիտակեցրեք հագուստը բնական միջոցով
2016-05-09 21:46:04
Հուշ երեկո` «Ես ապրում եմ»
2016-05-09 20:52:23
Հետաքրքիր փաստեր «չիլի» պղպեղի մասին
2016-05-09 19:57:07
Դիետա «Վինեգրետ»
2016-05-09 19:50:18
10 անգին խորհուրդ, որոնք կօգնեն Ձեզ փոխել Ձեր կյանքը
2016-05-09 19:30:20
Ջասթին Թիմբերլեյքը ելույթ կունենա Եվրատեսիլ 2016-ի եզրափակիչում
2016-05-09 19:17:52
Ֆիլմեր, որոնք տրամադրություն են ստեղծում
2016-05-09 19:02:31
Պատրաստում ենք մարմելադ` տնային պայմաններում
2016-05-09 18:33:01
Եվրատեսիլ 2016. Իվետա Մուկուչյանը՝ «Լավագույն 2-րդ փորձ» քվեարկության հաղթող
2016-05-09 18:21:58
Ո՞վ կդառնա «Պրեմիերա» նախագծի հաղթողը
2016-05-09 17:50:16
Իվետա Մուկուչյանը՝ Եվրատեսիլ 2015-ի հաղթող Մոնս Զելմերլովի հետ
2016-05-09 17:17:36
Գրիգորի Եսայան. «Շատ քիչ կին կդիմանա ինձ, ամբողջ օրը դրսերում, մեկն ա հելնում վզիս, մյուսն ա իջնում շալակիցս»
2016-05-09 16:15:39
Իվետա Մուկուչյանը ելույթից առաջ մարտական է տրամադրված
2016-05-09 15:58:33
Խոհանոցային 6 հմտություններ, որոնք կօգնեն ձեզ բազմաթիվ հարցերում (տեսանյութ)
2016-05-09 15:33:39
Ջասթին Բիբերը փոքրիկ խաչ է դաջել դեմքին (Ֆոտո)
2016-05-09 15:28:19
Ի՞նչ նոր ֆիլմում է նկարահանվել դերասան Արման Նշանյանը
2016-05-09 15:20:50
Ջենիֆեր Լոպեսը Մայամիի լողափին հանգիստն է վայելում (լուսանկարներ)
2016-05-09 15:00:55
Ջենետ Ջեկսոնի արտաքին տեսքի փոփոխությունները տարիների ընթացքում
2016-05-09 14:03:54
«Եվրատեսիլ 2016». Իվետա Մուկուչյանը, Սերգեյ Լազարեւը, Ֆիլիպ Կիրկորովը, Ջամալան եւ կարմիր գորգի մյուս լավագույն կերպարները (ֆոտոռեպորտաժ)
2016-05-09 13:35:43
Հայաստանի TOP 5 ամենահայտնի գեղեցկուհիները
2016-05-09 13:20:07
Քիմ Քարդաշյանը կրկին շիկահեր է դարձել
2016-05-09 13:04:28
Մենք գնացել էինք ոգեշնչելու մեր երեխաներին, բայց ավելի շատ նրանք մեզ ոգեշնչեցին. Սարգիս Միքայելյան
2016-05-09 13:00:12
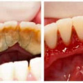
Ինչպես ընկույզի կեղևի օգնությամբ ազատվել ատամնաքարից
2016-05-09 12:58:42
Ուսուցչուհին շփոթում էր մեզ, բայց մեկս մյուսի փոխարեն դաս չի պատասխանել. երկվորյակ եղբայրներ (ֆոտոռեպորտաժ)
2016-05-09 11:47:09
Ելենա Բորիսենկո. «Չափից ավելի «լկստված» եմ»
2016-05-09 11:33:46
Օրվա բաղադրատոմս. Տորթ «Հաճույք»
2016-05-09 11:00:27
Ամենավտանգավոր սննդամթերքները
Նախկին էջ
Հաջորդ էջ
Լրահոս
Արտյոմ Վարդանյանի ընդգրկումը՝ կարևոր քայլ ազգային քաղաքականության ոլորտում
100 միլիոն եվրո կուղղվի Հայաստանում բիզնեսի զարգացմանը. Ակբա բանկ
Ո՞ւմ վրա է մնացել Հայաստանի անվտանգությունը
ԵՄ–ն չի շտապելու վիզաների ազատականացման հարցում
Փաշինյանը խուսափում է հանրահավաքներից
ԵՄ–ի վարքը ամոթալի է Հայաստանի մասով
Իրավապահ համակարգը վաղուց ձախողել է իր հիմնական առաքելությունը
Վիզաների ազատականացման խոստումները և փակ դռների իրականությունը
Ծայրահեղ աղքատությունը հնարավոր է վերացնել 6 ամսում. Մենուա Սողոմոնյան
Այսպես կոչված «քաղհասարակության» ներկայացուցիչները այստեղ Ալիևի շահերն են պաշտպանում․ Արմեն Մանվելյան
Խաղաղության մասին խոսակցությունները շատ են, սակայն պայմանագիրը չկա․ Արեգ Սավգուլյան
Հնարավոր է կարճատև անձրև և ամպրոպ. օդի ջերմաստիճանը աստիճանաբար կբարձրանա 5-7աստիճանով
Ցինհայ նահանգում ոչխարները արածում են արևային վահանակների տակ
Ինչ դեր ունի ԶՊՄԿ-ն Հայաստանի տնտեսության մեջ
Իրենք ուրիշ ձև չունեն, 25% ռեյտինգով չեն կարող իշխանություն ունենալ․ Սամվել Կարապետյանը՝ ՔՊ-ին
ԲՀԿ նախընտրական ցուցակի անդամ Էլինար Վարդանյանը պատասխանում է լրագրողների հարցերին
Փորձելու ենք անել այնպես, որ մեր Էջմիածինը դառնա այնպիսին, ինչպիսին մուսուլմանների համար Մեքքան է. Կարապետյան
Ֆուտբոլ ավազի վրա. բրազիլական «հոբբի», որ գրավեց աշխարհը. «Փաստ»
Իշխանության բերեցիք կյանքում ոչինչ չստեղծած շանտաժիստի, ով հիմա էլ, պամպերսը հագած, նույնն է անում. Սամվել Կարապետյան
Ամոթ է, երբ 8 տարի երկիր ես կառավարում, բայց քո երկրում երեխաները սոված են քնում. Սամվել Կարապետյան
Սրիկայություն էր մեր ժողովրդի, հիմարություն՝ դաշնակցի հանդեպ. Սամվել Կարապետյանը՝ Զելենսկու այցի մասին
ՊԱՏՄՈՒԹՅԱՆ ԱՅՍ ՕՐԸ (7 մայիսի). Արձանագրվել է հազվագյուտ տիեզերական երևույթ. «Փաստ»
Հայաստանի Ռուսաստանից կախվածությունը հենց հիմա ամենաբարձր մակարդակի վրա է, եթե ուզեմ էլ, չեմ կարող դա հասցնել ավելի մեծ մակարդակի․ Սամվել Կարապետյան
Հայաստանում կլինի օրենք, արդարություն, արդարադատություն, իրենք կորոշեն մարդկանց մեղքերը․ Կարապետյանը՝ իշխանության գալու դեպքում ՔՊ-ականների պատասխանատվության մասին
Փաշինյանը Մակրոնի հետ թող ռազմատնտեսական փոխօգնության պայմանագիր ստորագրեր, ոչ թե… Սամվել Կարապետյան
Երբ բացենք սահմանները Թուրքիայի հետ, գյուղատնտեսություն չենք ունենալու. Սամվել Կարապետյան
Հենց Փաշինյանը վերընտրվեց, ոչ թե Ռուսաստանի, այլ Ադրբեջանի գուբերնիա ենք դառնալու. Սամվել Կարապետյան
Հուսով եմ՝ կանեն ճիշտ ընտրություն, կաջակցեն մեր դաշինքին. Կարապետյանը՝ քաղաքական ուժերի մասին
Խոցելի և անկայուն. ինչո՞ւ է գյուղատնտեսությունն այսքան ծանր վիճակում. «Փաստ»
Փաշինյանը Չինաստանից սունկ է բերել, ուտում է, ցայտնոտի մեջ ընկնում. Կարապետյանը հորդորեց Փաշինյանի խոսքերը լուրջ չընդունել (Տեսանյութ)
Արցախցիները նույնպես ՀՀ քաղաքացիներ են և ունեն ընտրելու իրավունք․ Սայիդա Պողոսյան
Նիկոլին սկի իր խմբակի մեջ լուրջ չեն ընդունում, ես ի՞նչ մեկնաբանեմ իրեն. Սամվել Կարապետյան
Վստահ ենք, որ այդ օրը գալու է, ստանալու ենք հաղթողի մանդատը, ձևավորելու ենք կառավարություն. Սամվել Կարապետյան
Եթե դու լավ առաջնորդ ես, ուրեմն լավն ես թե՛ բիզնեսում, թե՛ պետություն ղեկավարելիս. Սամվել Կարապետյան
Արդյո՞ք արդարացված էր Վլադիմիր Զելենսկու ժամանումը Երևան․ Նառա Գևորգյան
Կառավարության երրորդ նիստ. հեղափոխություն Հայաստանի զբոսաշրջության ոլորտում. Ուժեղ Հայաստան
Փաշինյանը կատարել է իր ընտրությունը՝ ստորագրելով մի «չեկ», որի համար հայ ժողովուրդը կարող է ստիպված լինել վճարել շատ բարձր գին. «Փաստ»
Բացառիկ. Ուղիղ եթերում մամուլի ասուլիս` հաջորդ վարչապետ Սամվել Կարապետյանի հետ. տեսանյութ
Նիկոլ Փաշինյան անուն-ազգանունով վարչապետ չպետք է լինի. կպաշտպանենք հայ ժողովրդի ինքնությունը. Էդմոն Մարուքյան
Դիմում եմ 44-օրյա պատերազմի և հայրենիքի պաշտպանությանը մասնակցած մեր տղաներին. Գագիկ Ծառուկյան
Նիկոլ Փաշինյանը մնացել է Մաքսիմ Գալկինի հույսին. Էդմոն Մարուքյան
Վթար․ մի քանի ժամ ջուր չի լինի
Ցույց ենք տալիս՝ ինքության ինչ վտանգ կա ու ինչպես ենք պաշտպանելու այն. Էդմոն Մարուքյան
«Լուսավոր Հայաստան» կուսակցության նախագահ Էդմոն Մարուքյանի մամուլի ասուլիսը. Ուղիղ
Իրանը կարող է ԱՄՆ-ի առաջարկի պատասխանը փոխանցել այսօր. CNN
Ինչո՞ւ չլսեց Պուտինի նախազգուշացումները. «Փաստ»
19-ամյա վարորդը երկու ամիս կմնա տնային կալանքի տակ. ՔԿ
Գագաթնաժողովի փայլի տակ՝ նոր վտանգների ստվերը
«Նարեկս կռիվ է տվել, տանկեր խոցել և փրկել իր ընկերների կյանքը». սերժանտ Նարեկ Գևորգյանն անմահացել է հոկտեմբերի 7-ին Ջրականում, տուն «վերադարձել»... չորս ամիս անց. «Փաստ»
Իրավաքաղաքական հիմնավորում՝ բիբլիական Արարատ լեռան վերաբերյալ. Էդմոն Մարուքյան
Ամբողջ լրահոսը »
Ամենադիտված
1
Գտել են գիշերն անհետացած 5-ամյա աղջկա մարմինը
2
13-րդ հարկից նետել են գեղեցկության մրցույթի մասնակցուհուն
3
Շենքի տակ հայտնաբերել են երկու կնոջ և մեկ երեխայի մարմին
4
Խանութի զուգարանում հայտնաբերվել է 14-ամյա դպրոցական աղջկա դի
5
21 տարեկան կինը երեխա է ունեցել 14-ամյա ազգականից
Հարցում