ՔԱՂԱՔԱԿԱՆ
ՄԻՋԱԶԳԱՅԻՆ
ՀԱՍԱՐԱԿՈՒԹՅՈՒՆ
ՏՆՏԵՍՈՒԹՅՈՒՆ
ՎԵՐԼՈՒԾԱԿԱՆ
ՄՇԱԿՈՒՅԹ
ՍՊՈՐՏ
ԲԼՈԳ
ԼԱՅՖ
ՎԻԴԵՈ
Երևան,
08.Մայիս.2026,
00
:
00
Հայերեն
Русский
English
ՀՐԱՏԱՊ
12:06
Հաստատվել են դպրոցական արձակուրդների և ուսումնական պարապմունքների ժամկետները
10:12
Խորհրդանիշների փոփոխությո՞ւն, թե քաղաքական ուղերձ․ ինչու են հանում Արարատը
9:59
Այսօր սկսվում է պաշտոնական քարոզարշավը, և մենք մտնում ենք նրա մեջ՝ ձախողելու թրքամետ վարչախմբի վերարտադրությունը. Ավետիք Չալաբյան
17:13
Երևանի մի քանի հատվածներում կանգառները կարգելվեն
15:32
Հնարավոր է կարճատև անձրև և ամպրոպ. օդի ջերմաստիճանը աստիճանաբար կբարձրանա 5-7աստիճանով
12:16
Վթար․ մի քանի ժամ ջուր չի լինի
11:21
Մեքենայի մեջ մաhшցած է հայտնաբերվել հայ-թուրքական հանդիպումների թարգմանիչ Գևորգ Կալոշյանը
14:48
Նոյեմբերյանում հարգանքի տուրք՝ 1991-ի մայիսի 6-ի զոհված ոստիկանների հիշատակին․ (ֆոտոշարք)
14:46
Երևան-Սևան ավտոճանապարհին՝ կայանված «Nissan»-ում, հայտնաբերվել է տղամարդու մարմին
12:28
Երեկոյան սպասվում է կարճատև անձրև․ օդի ջերմաստիճանը մայիսի 9-11-ին աստիճանաբար կբարձրանա 5-7աստիճանով
10:56
Ապարանում ձյուն է տեղացել (տեսանյութ)
10:40
Վթար. 24 ժամից ավելի ջուր չի լինի
Լրահոս
2016-04-28 12:34:26
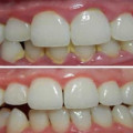
Խառնուրդ, որը 5 րոպեում կվերացնի ատամների փառը
2016-04-28 12:22:05
Մեղրը կօգնի փրկել տեսողությունը
2016-04-28 11:01:41
Մովսես Երեմյանի եւ Աննայի հարսանեկան լուսանկարները
2016-04-28 10:43:53
Facebook-ը շահույթի գրեթե եռակի աճ է արձանագրել
2016-04-28 10:15:39
Քիմ Քարդաշյանը ծննդաբերությունից հետո առաջին անգամ հայտնվել է լողազգեստով
2016-04-28 01:23:01
Ինչպե՞ս արագ և հեշտ ազատվել մազերի յուղոտվածությունից
2016-04-28 00:44:22
Հոգեբանական թեստ. ընտրեք առավել դուր եկած աթոռն ու բացահայտեք ձեր բնավորության գաղտնի գծերը
2016-04-28 00:22:15
Ըմպելիք,որը կօգնի այրել փորի ավելորդ ճարպերը
2016-04-28 00:14:30
Ինչու՞ չի կարելի ուտել կարտոֆիլ և սպիտակ հաց
2016-04-27 23:37:41
Բուրավետ մոմերը վտանգավոր են առողջության համար. Ո՞ր մոմերն են անվտանգ
2016-04-27 23:34:27
Ինչի վրա է փող ծախսում աղջիկների ներկայիս սերունդը
2016-04-27 23:33:21
Նիհարեք 5 կգ՝ մեկ շաբաթում
2016-04-27 23:29:58
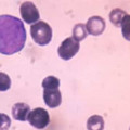
Գիտնականները հայտնել են արյան ագրեսիվ քաղցկեղի դեմ դեղամիջոց ստեղծելու հնարավորության մասին
2016-04-27 23:27:42
Զարմանալի փաստեր վարունգի մասին
2016-04-27 23:14:18
Ինչու չի կարելի կրծկալ կրել
2016-04-27 23:12:08
Այս թեստը կբացահայտի Ձեր մասին ողջ ճշմարտությունը. Իմացեք, թե ինչ գաղտնիքներ է թաքցնում սեղմած բռունցքը (լուսանկար)
2016-04-27 23:00:46
Ի՞նչ լուրջ հիվանդության նախանշան է կոպերի վրա առաջացած դեղին գնդերը
2016-04-27 22:56:45
Համաշխարհային հոգեբանների ամբողջ փորձը` 10 մեջբերման մեջ
2016-04-27 22:53:53
Ինչպես է նկարահանվել «Верни мою любовь» սերիալը (լուսանկարներ)
2016-04-27 22:31:23
«Դիետիկ» մթերքներ, որոնցից դուք գիրանում եք
2016-04-27 22:28:03
Խուսափեք ձեր մազերին դիպչելուց
2016-04-27 22:20:19
Կծվիչը՝ որովայնի ճարպերի դեմ
2016-04-27 22:18:28
Ամերիկյան ընտանիքում 101 տարվա մեջ առաջին անգամ աղջիկ երեխա է լույս աշխարհ եկել
2016-04-27 22:14:04
Հեղուկ «ռումբ». Խմեք ՍԱ սոված փորին մեկ շաբաթ շարունակ. արդյունքն անհավատալի է
2016-04-27 22:08:28
Ինչպիսի տեսք ունեն «տելեպուզիկների» դերասաններն էկրանից դուրս
2016-04-27 22:04:11
Վարսերի նորաձև գույներ. լուսանկարներ
2016-04-27 21:59:36
Ավստրալիայում ոսկուց զուգարանի թուղթ են վաճառում
2016-04-27 21:38:26
Ինչպես են իրենց դրսևորում կենդանակերպի նշանների «անպատկառները»
2016-04-27 20:33:14
Տղամարդը համացանցում խնդրում է ֆոտոշոփով ուղղել իր նկարը. արդյունքն իսկապես ծիծաղելի է
2016-04-27 20:26:12
Սեռերի պատերազմ. Մինչ միասին ապրելու որոշում կայացնելը
Նախկին էջ
Հաջորդ էջ
Լրահոս
Գյումրիում բացվել է Հիշատակի ծառուղի
Հաջորդ վարչապետ Սամվել Կարապետյանի առաջին հրապարակային ելույթը
Վաղվա մեր գործողությունները կախված կլինեն նրանից, թե ինչ կտեսնենք այսօր․ Զելենսկի
Կարճատև անձրև և կարկուտ․ ի՞նչ եղանակ կլինի
Պաշտոնաթողությունից հետո նախագահը եվրոպական շրջագայություններում անվտանգության աշխատակից չի ունեցել
Ադրբեջանից Հայաստան կուղարկվի դիզելային վառելիք
Ոչ ոք չի՛ խլելու փոփոխության մեր հույսը․ տարածի՛ր Հայաստանի հաջորդ վարչապետ Սամվել Կարապետյանի պաշտոնական նախընտրական տեսահոլովակը․ քվեարկի՛ր 3-ի օգտին
Ռուսաստանի հանդեպ պետք է վարել ճկուն քաղաքականություն, ինչը ՔՊ խմբակին հասու չէ․ Հրայր Կամենդատյան
ՀՀ իշխանությունը կրկին հիշել է Հռոմի ստատուտը
Յունիբանկը՝ «Yerevan Dialogue 2026» միջազգային համաժողովի գործընկեր
Ինչպիսի երկրում ենք ուզում ապրել՝ դաժա՞ն, թե՞ ուժեղ․ Մենուա Սողոմոնյան
Հայ-ռուսական հարաբերությունները հետևողականորեն փոշիացվում են
Փոփոխության համար համար 3․ Ալիկ Ալեքսանյան
10 միլիոն արևային վահանակ Սահարայում. Էներգետիկ հեղափոխություն, թե՞…
Գեղարքունիքում բախվել են «Mercedes» և «ԳԱԶ 3110», 5 վիրավnրներից մեկը հղի կին է
Ուսուցիչը երկու շաբաթ լրտեսել է ավագ դպրոցի աղջիկների զուգարանը
Գյումրիում բացվել է Հիշատակի ծառուղի
Փաշինյանին ձայն տվողները պետք է գիտակցեն՝ ինչի՛ օգտին են քվեարկում և ինչ կստանան․ Ավետիք Չալաբյան
Wildberries-ը հայտարարություն է տարածել
«Համահայկական ճակատ» կուսակցության մամուլի պատասխանատուի հայտարարությունը
ԵՆԲ խումբը և Ամերիաբանկն ընդլայնում են աջակցությունը հայկական բիզնեսին ԵՄ-ի կողմից ապահովված երաշխիքի միջոցով
Մենք վերադառնալու ենք Հայոց բերդաքաղաք Շուշի․ Արշակ Կարապետյան
Մարտունի-Գավառ ավտոճանապարհին բախվել են «Mercedes-Benz»-ը և «GAZ»-ը
«Ուժեղ Հայաստան» դաշինքի ընտրական ցուցակում «Ապրելու երկիր» կուսակցությունից ընդգրկված են Սյուզաննա Ավետիսյանը և Դավիթ Մանուկյանը
ՆԱՏՕ-ում ԱՄՆ-ի գտնվելու հիմնական պատճառներից մեկը Եվրոպայում տեղակայված nւժեր ունենալու հնարավորությունն է. Մարկո Ռուբիո
Մի դրամի ուժը՝ «Վահե Մելիքսեթյան» հիմնադրամին
Ամենից վատ բանը «բարդակ» ընկալող առաջնորդն է․ Ռոբերտ Քոչարյան
Վարորդները ազդանշաններով աջակցում են «ՈւԺեղ Հայաստանին»
Որքան հայրենիքն ու պետությունը մոտ են, այդքան ավելի լավ քաղաքացու համար. Ռոբերտ Քոչարյան
Ոչ ոք չի՛ խլելու փոփոխության մեր հույսը. Քվեարկի՛ր 3-ի օգտին
ՈւՂԻՂ. «Լուսավոր Հայաստան» կուսակցությունը Աղվերանում հանդիպում է երիտասարդների հետ
Ադրբեջանը թելադրում է իշխանություններին, թե ՀՀ–ում` ինչ կարելի է կառուցել, ինչ՝ ոչ. ԼՀԿ–ն սկսեց քարոզարշավը
«Շառլատանին փոխարինելու է գալիս ազգային բարերարը»․ Էդգար Ղազարյան
Մեզ խաբում են. Ադրբեջանը չի ճանաչել ՀՀն կոնկրետ քառակուսի կիլոմետրով եւ քարտեզով. Մարուքյան
Մենկարկում է «Լուսավոր Հայաստան»–ի քարոզարշավը Երասխից․ Էդմոն Մարուքյան
Սթիլ Կոնցեռն. Բիզնեսի զարգացման ճանապարհը՝ Կոնվերս Բանկի հետ
«Մայր Հայաստան» հուշակոթողի մոտ «Ուժեղ Հայաստանը» կամփոփի քարոզարշավի առաջին օրը
«Համահայկական ճակատ» շարժման առաջնորդի շնորհավորական ուղերձը Եռատոնի առթիվ. Արշակ Կարապետյան
Փոփոխությունները գալիս են. Ուժեղ Հայաստան (տեսանյութ)
Այս օրը պետք է դառնա նոր սկզբի և նոր պատասխանատվության խորհրդանիշ․ Նաիրի Սարգսյան
Մեզ հետաքրքրում է ոչ թե ցուցակում լինելը, այլ երկրի ապագան․ Ցոլակ Ակոպյան
Էս մարդը ուրիշ ազգ է բնակեցնում մեր երկրում․ Ալիևին չի կարողանում մերժել․ Նարեկ Կարապետյան
Երրորդ ժամկետի գնալը մերժելու հիմքով իշխանության եկածը պետք է մերժվի հենց երրորդ ժամկետի հիմքով. Մելոյան
Ունիկալ շրջան է, հիմնական ընդդիմադիր առաջնորդը տնային կալանքից է քարոզչական պրոցեսներին մասնակցում. Նարեկ Կարապետյան
Էս մարդկանց ճամփել է պետք, իրենք վատ խոսույթ են մտցնում, կռիվ են մտցնում մեր մեջ. Նարեկ Կարապետյան
Դատարանը կուսումնասիրի՝ ինչքան սունկ է կերել և որ պահերին, երբ ֆեյսբուք ես մտնում, մոտավորապես գուշակում ես, հուսով եմ՝ դա սունկն է․ Նարեկ Կարապետյան
Այս մարդը վերածվում է դիկտատորի, եթե ընտրվի՝ սովետական ամենածանր բռնաճնշումների հոտն եք զգալու. Նարեկ Կարապետյան
Հաստատվել են դպրոցական արձակուրդների և ուսումնական պարապմունքների ժամկետները
Եթե այս իշխանությունը մնա, ժողովուրդը վճարելու է ամենաբարձր գինը․ Ատոմ Մխիթարյան
Մի՛ խաբնվի Փաշինյանի ասֆալտին, եթե իրեն ընտրես՝ Էրդողանին ու Ալիևին ես ընտրում. Չալաբյան
Ամբողջ լրահոսը »
Ամենադիտված
1
13-րդ հարկից նետել են գեղեցկության մրցույթի մասնակցուհուն
2
Շենքի տակ հայտնաբերել են երկու կնոջ և մեկ երեխայի մարմին
3
21 տարեկան կինը երեխա է ունեցել 14-ամյա ազգականից
4
Խոշոր հրդեհ՝ «Արգավան» առևտրի կենտրոնում. կան զnhեր և վիրավnրներ
5
Ջուր չի լինելու մայիսի 7-ին և 8-ին
Հարցում