ՔԱՂԱՔԱԿԱՆ
ՄԻՋԱԶԳԱՅԻՆ
ՀԱՍԱՐԱԿՈՒԹՅՈՒՆ
ՏՆՏԵՍՈՒԹՅՈՒՆ
ՎԵՐԼՈՒԾԱԿԱՆ
ՄՇԱԿՈՒՅԹ
ՍՊՈՐՏ
ԲԼՈԳ
ԼԱՅՖ
ՎԻԴԵՈ
Երևան,
15.Մայիս.2026,
00
:
00
Հայերեն
Русский
English
ՀՐԱՏԱՊ
12:05
Վթար է․ ջուր չի լինելու
10:59
Երևանում կենտրոնում այսօր և վաղը կգործեն երթևեկության ժամանակավոր սահմանափակումներ
9:49
Դոլարն էժանացել է, ռուբլին՝ թանկացել․ փոխարժեքն՝ այսօր
15:34
Իրազեկում․ գործարկվելու է էլեկտրական շչակ
15:06
Ժամանակ առ ժամանակ սպասվում է կարճատև անձրև և ամպրոպ. օդի ջերմաստիճանը կնվազի 5-8 աստիճանով, ապա նույնքան կբարձրանա
11:51
Սամվել Կարապետյանի ժողովրդագրական հեղափոխությունը. չորրորդ երեխայի դեպքում 2 միլիոն դրամ, հինգերորդ երեխայի դեպքում բնակարան. Ուժեղ Հայաստան
11:21
Երևանում թիվ 5, 15, 31 երթուղիների մի քանի ավտոբուսներ արգելափակվել են խցանման մեջ, կլինեն ուշացումներ
10:45
Մի քանի ժամ ջուր չի լինի․ հասցեներ
10:41
Սա դատավարություն չէ, սա էթնոքաղաքական վենդետш է․ Դավիթ Բաբայանի ուղերձը՝ Բաքվի բանտից
14:23
Եթե կուսակցություններն ու դաշինքներմ այսօր գույքի և եկամուտների հայտարարագրեր չներկայացնեն, ապա կտուգանվեն. ԿԸՀ
12:54
Սպասվում է կարճատև անձրև և ամպրոպ
9:22
Վթար է․ ջուր չի լինելու
Լրահոս
2016-02-18 14:05:56
«Ես կես թուրք-կես արաբ եմ, բայց ինձ թուրք եմ զգում». ինչո՞ւ Աբրահամ Ռուսոն հանկարծ սկսեց հայալեզու երգեր երգել (լուսանկարներ, տեսանյութ)
2016-02-18 13:58:35
Բեյոնսեն Grammy-ին ներկայացել է հարսանեկան զգեստով (լուսանկար)
2016-02-18 13:48:35
Դիմահարդարման դաս. ստվերաներկ քսելու տեխնիկան ըստ աչքի կառուցվածքի.լուսանկարներ
2016-02-18 13:42:22
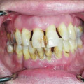
Մթերքներ, որոնք փչացնում են մեր ատամները (լուսանկարներ)
2016-02-18 13:29:42
Ինչ տեղի կունենա, եթե մաշկը լվանաք խնձորի քացախով․ արդյունքները խոստանում են զարմացնել
2016-02-18 13:23:38
Անձնական փորձ. այս աղջիկը բացահայտում է 40 կիլոգրամով նիհարելու իր գաղտնիքը (լուսանկարներ)
2016-02-18 13:19:41
Դիանա Շատվերյան. «Աղջկաս նվերն ամենահուզիչը և տպավորիչն էր»
2016-02-18 13:15:42
Բջջային հեռախոսի հնարավորություններ, որոնց մասին չգիտեիք
2016-02-18 13:07:04
Վարժություններ՝ գեղեցիկ ոտքեր ունենալու համար (տեսանյութ)
2016-02-18 13:02:47
Ես նախկինում երբեք չեմ ցանկացել երեխա ունենալ. Ջոլի
2016-02-18 13:02:16
Կինը թողեց երեխային ամուսնու մոտ ու գնաց աշխատանքի. Երբ նա կնոջը ուղարկեց այս հաղորդագրությունը՝ վերջինս կորցրեց խոսելու ունակությունը (տեսանյութ)
2016-02-18 12:56:32
Տաթևիկ Ադումյանը եղբոր հետ նոր լուսանկար է հրապարակել (լուսանկար)
2016-02-18 12:37:33
12 հիանալի գաղափար՝ հին սվիտերները դեն չնետելու համար. Ֆոտոշարք
2016-02-18 12:04:09
Մարզասրահի ոսկե կանոնն ըստ Եվա Ռիվասի
2016-02-18 11:55:23
Արման Հովհաննիսյանի եւ Արամեի սելֆին
2016-02-18 11:52:07
Նա սեղմեց մատիտն ատամներով ու տեսեք, թե ինչ անսպասելի բան տեղի ունեցավ. Այժմ ես էլ այդպես կանեմ (լուսանկար)
2016-02-18 11:45:52
Քիմ Քարդաշյանն ու Քանյե Ուեսթը հատը 20 հազար դոլարով ծորակներ են գնել
2016-02-18 11:20:56
Այս աղջիկը ասպիրինի հաբերի վրա ավելացրեց կիտրոնի հյութ ու քսեց դեմքին. արդյունքն ապշեցնում է
2016-02-18 11:14:59
Ինչպիսի տեսք ունեին վաղեմի սիրեկաններ Աննա Կոկչյանն ու Սոս Ջանիբեկյանը տարիներ առաջ
2016-02-18 11:03:01
Ինչու է Սոնա Շահգելդյանը գաղտնի պահում ամուսնուն եւ նորածին որդուն
2016-02-18 10:26:42
Օրվա բաղադրատոմսը. «Լահմաջո»
2016-02-18 10:14:22
Աշխահի ամենածաղկուն 16 փողոցները, որոնք անտարբեր չեն թողնի ձեզ
2016-02-18 10:00:09
Դիմա Բիլանը շոկի է ենթարկել բոլորին հիվանդագին նիհարությամբ (լուսանկարներ)
2016-02-18 09:52:59
Երբեք գլխի չեք ընկնի, թե ուր է Քիմ Քարդաշյանն այսպիսի հագուստով գնում դստեր հետ (լուսանկարներ)
2016-02-18 09:40:29
Աստղագուշակ՝ փետրվարի 18-ի համար
2016-02-18 08:46:07
8 միջոց՝ սոդան կոսմետիկ նպատակներով օգտագործելու համար
2016-02-18 08:07:05
Բաղադրատոմս. Թագավորական կարտոֆիլ
2016-02-18 07:54:19
Երբ ամուսինները գնեցին այս խորդանոցը, նրանց նայում էին ինչպես խենթերի. լուսանկարներ
2016-02-18 07:43:04
Ի՞նչ եք առաջինը տեսնում նկարի վրա. Թեստը ճիշտ է 97%-ով
2016-02-18 07:33:06
Եղանակի տեսության «ամենաթեժ» հաղորդավարուհիները` լուսանկարներով
Նախկին էջ
Հաջորդ էջ
Լրահոս
ԱՄՆ-ում ստեղծվել է արևային էներգիայի կլանման նոր նյութ
Երեխա ունեցող ընտանիքների շրջանակներում, աղքատությունը պետք է կրճատվի. Լիլիա Շուշանյան
Վթար է․ ջուր չի լինելու
ՈւՂԻՂ. «Լուսավոր Հայաստան» կուսակցության քարոզարշավը՝ ՀՀ նախագահի նստավայրի մոտ
ԱՄՆ-ը լիովին մերժել է hակամարտnւթյան կարգավորման վերաբերյալ Իրանի 14 կետից բաղկացած պլանը. Tehran Times
Օքենքը ընտրեք, որովհետև օրենքին ծառայողը ըստ արժանվույն է գնահատվելու. Արշակ Կարապետյան
Նոյեմբերյանցիները շատ ջերմ են ընդունել Գագիկ Ծառուկյանին․ ֆոտոշարք
Հայտնի է մանկապղծության համար դատապարտված տղամարդու ինքնաuպանության պատճառը
Երևանում կենտրոնում այսօր և վաղը կգործեն երթևեկության ժամանակավոր սահմանափակումներ
Բացառիկ զրույց Սամվել Կարապետյանի հետ. «Կամուրջներ» Նազենի Հովհաննիսյանի հետ
Սահմանապահ մարզում բնակիչը պետք է վստահ լինի, որ կարող է ապահովել իր ընտանիքի արժանապատիվ կյանքը. Գագիկ Ծառուկյան
Պուտինի այցը Չինաստան նախատեսվում է մայիսի 20-ին. ԶԼՄ
Մեր կուսակցության կազմում ընդգրկված են հիմնականում նախկին զինվորականներ. Նաիրա Գևորգյան
ԶՊՄԿ-ն արձագանքել է իր շուրջ տարածվող հրապարակումներին․ «Զերծ մնացեք քաղաքական նպատակներով ընկերության անունը շահարկելուց»
«Ուժեղ Հայաստանի» աճող ազդեցությունը և իշխանության արձագանքը
Քարոզարշավի առաջին շաբաթվա հաղթողներն ու պարտվողները․ ով է առաջատար
Մահացել է Արայիկ Բաղդասարյանը
ՌԴ Ռյազան քաղաքի վրա ուկրաինական ԱԹՍ-ների hարձակման հետևանքով երեք մարդ է զnhվել
Դոլարն էժանացել է, ռուբլին՝ թանկացել․ փոխարժեքն՝ այսօր
Վեց տարի անգործություն. Բաքվի բանտերում մնացած հայերի ճակատագիրը
Օր օրի մոտեցնում ենք հաղթանակը. Ավետիք Չալաբյան
Հորոսկոպի 3 նշան, ում համար գարունը վատ ավարտ կունենա
Մանուկների համար աղոթք
Լա Լիգա․ Մբապեի վերադարձն ու Բելինգհեմի գոլը. «Ռեալը» հաղթեց «Օվյեդոյին»
Սիմոնի ելույթը «Եվրատեսիլ 2026»-ի 2-րդ կիսաեզրափակչում
Օդի ջերմաստիճանը կնվազի․ եղանակն՝ առաջիկա օրերին
Խոշոր ավտովթար է տեղի ունեցել․ վիրավորներ կան
Նոր Գեղիի բնակիչը դանակի մի քանի հարված է հասցրել 15-ամյա պատանուն, իսկ 18-ամյա էջմիածինցին մեկնարկային ատրճանակով երկու անգամ կրակել է օդ
Երիտասարդներին վառ ապագայի խոստումներով չի կարելի խաբել. Էդմոն Մարուքյան
Գյումրիում արձանագրվել են սուր աղիքային վարակի դեպքեր․ 15 երեխա հոսպիտալացվել է
Պարզվել է Երևանում տուն մխրճված բեռնատարի և մնացած մեքենաների վարորդների ինքնությունը
IDBank-ը՝ Wizz Air-ի «Let’s Get Lost» արշավի բացման միջոցառման աջակից
Մահացել է ՀՀ ժողովրդական արտիստ Նիկոլայ Ծատուրյանը
Ճակատագրական փուլում ենք. Փաշինյանի օրոք ամենատարբեր աղետները թափվեցին մեր գլխին
Փաշինյանը կարող է նաև «մարդ ուտել»․ Մակրոնը չի կարող երաշխիք լինել
Շենգավիթ համայնքը ընդունեց մեզ, մեր մասնագիտական զրույցը, անկեղծությունը․ Հրայր Կամենդատյան
«Մեր քաղաքը վերափոխվելու է․ պետք է ժամանակակից գործարաններ լինեն, որպեսզի մեր աշխատավոր ժողովուրդն աշխատի ու մենք ունենանք Ուժեղ Հայաստան». Նարեկ Կարապետյան
ԵԽԽՎ վերջին զեկույցը Հայաստանի վերաբերյալ պարզապես թղթի կտոր չէ. այն ինձ համար խորը հիասթափություն է․ Ռոբերտ Ամստերդամ
Ճիշտը գնահատող Ուժեղ Շենգավիթ․ Նարեկ Կարապետյան
Իմ գլխավոր նպատակն եմ համարում քաղաքականության մեջ մարդկային հարաբերությունների և ներքին համերաշխության վերականգնումը․ Ռոման Մուրադյան
«Ուժեղ Հայաստան» դաշինքի հանրահավաքը Գարեգին Նժդեհի հրապարակում
Շենգավիթը պետք է վերածնունդ ապրի, այստեղ պետք է 24 ժամ աշխատանքը եռա․ Նարեկ Կարապետյան
Իշխանությունները խաբում են, ահաբեկում են, շանտաժի են ենթարկում սեփական ժողովրդին․ Էդմոն Մարուքյան
Հիմա՝ Շենգավիթ
«Ուժեղ Հայաստան» դաշինքի քարոզարշավն այսօր Շենգավիթ վարչական շրջանում էր․ «ՀայաՔվեն» առաջին շարքերում է
Շենգավիթցիները հյուրասիրությամբ ընդունեցին Ուժեղ Հայաստան դաշինքին, ի դեմ Նարեկ Կարապետյանի
Դիմում 200 հազար ՀՀ քաղաքացուն. Էդմոն Մարուքյան
Ընտրեք դեմոկրատիան, օրենքը, կարգապահությունը որպես գաղափար, ո'չ քաոսին
Երևանյան գագաթնաժողովի արձագանքները. Ալիևի ջղաձգումները, Մեցոլայի սկզբունքայնությունը և Փաշինյանի լռությունը․ Աննա Կոստանյան
Բնակարան՝ ընտանիքի 5-րդ երեխայի ծնվելու դեպքում․ Մենուա Սողոմոնյան
Ամբողջ լրահոսը »
Ամենադիտված
1
Մաhացել է Տիգրան Վարդանյանը
2
Անժամանակ կյանքից հեռացել է Վարդուհի Բադալյանը
3
Ուսուցիչը երկու շաբաթ լրտեսել է ավագ դպրոցի աղջիկների զուգարանը
4
Վթար է. ջուր չի լինելու
5
Լավ լուր՝ նպաստների վերաբերյալ
Հարցում